イークの乳がん検診は他と何が違うの?
医師・技師・スタッフも、すべて女性で安心
イークでは、超音波検査もマンモグラフィ撮影もすべて女性が対応します。
不安や抵抗を感じることの多い乳がん検診においても、できるだけリラックスして受診していただけるよう、スタッフがお声がけしながらサポートします。
乳がんのスペシャリストが、一人ひとりのリスクと向き合う
認定証取得の女性技師が検査を担当
超音波を担当する技師には、超音波検査士認定証(体表臓器領域、健診領域)や乳房超音波講習会受講証A判定を取得している技師もおり、院内での教育・指導を担当しています。
また放射線技師は、全員が日本乳癌検診精度管理中央機構(精中機構)主催のマンモグラフィ認定証を取得しており、 高いスキルでの検査を実現しています。
聖路加国際病院・ブレストセンターとの提携
イークの乳腺外科は、日本有数の治療実績を誇る聖路加国際病院・ブレスト センターと提携しており、一部の読影/診察はブレストセンター所属医師または出身医師が担当いたします。
健診後、精密検査が必要になった場合には、担当医師がイークまたはブレストセンターにて検査を行い、また、治療が必要な場合は速やかにブレストセンターにご紹介します。
検査画像は何人もの乳腺外科医がチェック
イーク丸の内に勤務する医師は、聖路加国際大学病院、昭和大学病院、聖マリアンナ医科大学病院に所属する乳腺外科医で、多くは乳腺専門医の資格を保有しているスペシャリストです。
イークで乳がん検診を受けた方の画像は、イーク丸の内に勤務する乳腺外科医が診断。所見がある画像はまた別の乳腺外科医がチェックする2重読影体制を徹底しています。さらに所見があった場合には週1回の医師や技師が集合するカンファレンスにて確認し、診断の最終確定までに何人もの目で確認することで、乳がん検診の精度向上に取り組んでいます。
高性能な医療機器で、検査精度を高める
小さなしこりも写し出す乳腺超音波(エコー)装置
超音波検査では、乳房に超音波をあてて、跳ね返ってくる音波を画像化して診断しますが、イークで使用している機器は、より多くの超音波画像が得られる東芝社製のAplioというフルデジタル汎用超音波診断装置です。
乳房超音波検査では写真のようにはっきりと腫瘤像を写しだす事ができます。また、乳管拡張や乳腺斑状像の変化・構築や厚みの変化などを確認することも可能です。

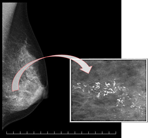
石灰化を明瞭に描写するマンモグラフィ撮影装置

イークでは日本医学放射線学会の定める使用基準を満たしたデジタルマンモグラフィ撮影装置(DR)を設置しています。従来のフィルムとは異なり、デジタルの画素サイズが50~100μmという高精細なシステムFPD(Flat Panel Detector System)を用いて撮影することで、細かい石灰化や腫瘤の形状などを明瞭に描出することができます。
また、X線の出力部に数種類のターゲット/フィルタを備えており、これらを適切に組み合わせることによって不要なX線エネルギーを除去でき、さらには乳腺量に合わせてX線の量を調整する機能も搭載されているので、最低限の被曝で高画質の画像が得られます。

モニタ読影の設備も整っており、撮影した画像はデータとしてサーバーにアップロードされるため、撮影直後に読影担当の医師がすぐにチェックすることができます。
イーク関連施設で撮影された画像は同じサーバーに保存され、イークのどの院で受診されても前回受診時との比較読影が可能です。
安心・安全に検査を受けていただくため、日常的に機器の動作確認や画像・画質のチェック、定期点検なども欠かさず行っています。
イーク丸の内・表参道
装置:キヤノンメディカルシステムズ株式会社製 Pe・ru・ru DIGITAL
イーク有楽町・渋谷・紀尾井町
装置:富士フイルム株式会社製 AMULET Innovality
さいごに
イークでは、小さなリスクも見逃さないという思いで、検査から診断・治療まで一人ひとりの受診者様に寄り添ってサポートします。
実際にどのような検査・コースがあるかは、以下「乳がん検診」のページをご確認ください。
よく読まれている記事
-
乳がん検診の結果が「要精密検査」だった方へ25.09.17 最終更新
-
子宮頸がん検査の結果が「要精密検査」だった方へ25.08.20 最終更新
-
乳腺超音波(エコー)検査って何?25.09.11 最終更新
-
乳腺科:乳房・乳がんに関するよくある質問25.09.11 最終更新
-
乳房にまつわる病気や症状25.09.09 最終更新
-
マンモグラフィ検査って何?25.09.11 最終更新
-
乳がん検査の選び方25.09.11 最終更新
-
イークの乳がん検診は他と何が違うの?25.11.20 最終更新
-
子宮頸がん検査って何?25.08.20 最終更新
-
子宮にまつわる病気や症状25.08.20 最終更新
